| |
Complications of Circumcision
|
The development of the human penis is a complex
sequence of events which results in an utterly
individual outcome: no two
penises are identical and there is a
surprising range of anatomical detail that should be
considered normal. Parents need to be assured of this
range of normality. Moreover, the
desire of practitioners for standard procedures can
lead to unpredictable outcomes because of
both this anatomical variation and the impossibility
of predicting the functional results of surgical
correction in infants. This is because the procedures
are performed with an emphasis on achieving an
acceptable cosmetic outcome on a very small organ
which has the capacity for considerable growth and
changes during puberty. Furthermore, no surgical
procedure can have absolutely predictable outcomes
because of the variations in healing and scar
formation, the individual variations in technique, and
the effects of infection. Regrettably, it seems that the majority of those performing
surgical procedures on the penis of minors take no
interest in following up the outcome after the organ
has developed. Admittedly this involves a
time span of at least a decade, but there have been
very few attempts at quality control and many boys are
left with seriously damaged penises; the outcome is
often a functional impairment and is seldom tidy, to
say the least. ...
Each operator applies the procedure idiosyncratically
and without any absolute parameters, to which must be
added the fact that it is
surgery on a very small organ which will undergo a
large increase in size (usually at least three
times) at puberty. These factors may account
for the wide variation in circumcision outcomes. A
major failure in quality assurance with circumcision
is that practically all operators never make any
assessments of the outcome of their surgery after the
period of growth so as to reduce the oft-seen poor
results.
- Pathologist Ken McGrath
Ninth International Symposium on
Circumcision, Genital Integrity and Human Rights
Seattle, August 25, 2006
|
For a fuller list of Reasons Not
to Circumcise, click there. Death
now has its own page.
Strictly speaking, a disease has complications, surgery such as
circumcision has side-effects.
Risks vs Benefits
An article in Pediatrics
in January 2000 attempts to compare the benefits of circumcision
with the risks. However, the only risks considered are the
direct complications of surgery - and only some of those.
"Complications" are defined very conservatively, including only
those that are noticed before the baby leaves hospital or that
lead to him being brought back to the same hospital or doctor.
They don't include aesthetic results so bad the parents take him
back for more surgery. Nor do they include the ones the penises'
owners learn to live with - after all, part of the rationale of
circumcision is horror of the penis, so the mother of a cut baby
probably doesn't get to see or attend to a significant
proportion of uneven cuts, scarring
etc.
The researchers did not cite two of the main studies of
complications, those of William
and
Kapila or Patel.
Benefits are defined very generously, using a lot of the work
of Wiswell, rather than those who estimate the benefits more
conservatively, such as To.
No intrinsic worth is assigned to having intact genitalia, or
to not performing invasive surgery, or to having a choice.
The same is true of a
study published in New Zealand, sometimes cited as
supporting an overall advantage to infant circumcision. A cohort
of all the boys born in one city over a period of months in 1977
were followed for eight years. (They are still being followed.)
This study is potentially valuable, because only one quarter of
the 590 boys were circumcised at birth. Few US studies include
enough intact boys to achieve statistical significance.)
It seemed to find that circumcised boys had more penile
problems in their first year, intact boys in the longer term,
with a difference of "marginal significance" in favour of
circumcision. Closer examination shows that boys not circumcised
at birth continued to be counted as "uncircumcised" throughout
the study, and their "penile problems" included complications of
post-neonatal circumcisions!
|
"The estimated 1% to 3%
incidence of complications after newborn
circumcision covers only the immediate
postoperative period prior to the infant's
discharge from the hospital. The reported risks
are hemorrhage in 1%, infection - occasionally
leading to sepsis - in 0.5%, meat[iti]s and meatal
stenosis, u[r]ethrocutaneous fistula, adhesions
between the glans and remaining prepuce, secondary
phimosis, and cosmetically unsatisfactory results.
The rate of subsequent repeat surgery to correct
adhesions of the glans, meatal stenosis, fistula,
and phimosis with buried penis is unknown, but our
practice at Children's Hospital of Philadelphia
includes about two such cases per month. While
this is not a large percentage of the total number
of circumcisions preformed, it is a significant
number of children undergoing surgery for the
complication of this operation. "
- Schwartz, et
al. "Pediatric
Primary Care: A Problem-solving Approach" pp
861-862.
(At 1.25 million circumcisions
of newborns in the US per year, a 0.5% infection
rate amounts to 6000 cases per year, and a 4%
overall rate of complications requiring treatment
represents 48,000 patients experiencing avoidable
morbidity.)
|
Pieretti et al.
at the MassGeneral Hospital for Children found 424 (4.7%) out of
8,967 operations in 2003-7 were for complications resulting from
previous neonatal circumcision. (Note that this is the fraction
of operations, not circumcisions) and 127 boys with concerns
following newborn circumcision represented 7.4% of the total
volume of cases seen in the pediatric urology outpatient clinic.
De la Hunt found complications requiring attention by the GP in
22% of circumcisions.
de la Hunt MN. "Paediatric Day Care surgery: a hidden burden for
primary care?" Ann R Coll Surg Engl. 1999; 81:179-82.
Where facilities are scarce, the position is much worse.
|
Bungoma district, Kenya: Assessment of traditional
and medicalised male circumcision
The study, which was conducted to establish a
pre-training baseline assessing safety of male
circumcision in resource-poor settings found high
rates of adverse events for both medical (17%) and
traditional circumcision (35%). The most common were
profuse bleeding, infections, pain, insufficient
foreskin removal and torsion. The study
findings highlight what could go wrong if providers
are not well trained and adequately equipped to
perform male circumcision in hygienic settings with
good post-surgical follow-up.
UNAIDS/CAPRISA Consultation
on Social Science Perspectives
on Male Circumcision for HIV Prevention
18-19 January, 2007
Summary Report
|
|
Linus Okeke, Adanze A Asinobi and Odunayo S Ikuerowo
BMC Urol. 2006; 6: 21.
Published online August 25 2006
Abstract
Background
The number of infants managed for neonatal
circumcision injuries in our unit has been on the
increase over the past 16 years. In our search for the
sources and reasons for these injuries, we were unable
to identify any previous studies of circumcision
injuries from our environment. We therefore decided to
carry out this study in order to shed some light on
this growing problem.
Methods
The patients were made up of 370 consecutive consented
children attending our infant welfare clinic for
immunization over a period of 3 months. Information on
their demographic data, their age at circumcision,
where, why and who circumcised them was obtained from
their mothers. They were clinically examined for the
presence and type of complications of circumcision.
Results
Our circumcision rate was 87%. Neonatal circumcision
had been performed in 270 (83.9%) of the children. Two
hundred and fifty nine (80.7%) were performed in
hospitals. The operation was done by nurses in 180
(55.9%), doctors in 113 (35.1%) and by the traditional
circumcisionist in 29 (9%) of the children.
Complications of circumcision occurred in 65 [20.2%]
of the children. Of those who sustained these
complications, 35 (53.8%) had redundant foreskin, 16
(24.6%) sustained excessive loss of foreskin, 11
(16.9%) had skin bridges, 2 (3.1%) sustained
amputation of the glans penis and 1 (1.5%) had a
buried penis. One of the two children who had
amputation of the glans also had severe hemorrhage and
was transfused. Even though the complications tended
to be more likely with nurses than with doctors or
traditional circumcisionists, this did not reach
statistical significance (p = 0.051). [That
is, doctors were no better at circumcising than
nurses.]
Conclusion
We have a very high rate of
complications of circumcision of 20.2%. We
suggest that training workshops should be organized to
adequately retrain all practitioners of circumcision
on the safe methods available. [The
complication rate could also be reduced by
reducing the circumcision rate.]
|
A Brazilian study
|
J. Ped. Urol. (2010) xx, 1-6
Prospective randomized trial comparing dissection
with Plastibell circumcision
José Murillo Bastos Netto, José Gonçalves de Araújo
Jr, Marcos Flávio de Almeida Noronha, Bruno Rezende
Passos, José de Bessa Jr, André Avarese Figueiredo
Received 23 August 2009; accepted 7 January 2010
Abstract
Objective: To compare and evaluate dissection
and Plastibell™ circumcision techniques for the
treatment of phimosis.
Methods: In 2006-2007, 125 children were
submitted to circumcision by the same surgeon. The
children were randomly divided into two groups (PD:
Plastibell™ and DC: dissection). In both groups the
surgery was performed under general anesthesia and
dorsal penile block. The dissection circumcision used
the double circular incision technique. Follow-up was
done on days 15, 45 and 90 after surgery.
Results: Sixty-eight patients were included in
DC and 57 in PD. The mean age at surgery was 71.76 +/-
31.56 months for DC and 70.95 +/- 31.73 months for PD.
There was no difference in Kayaba’s classification for
phimosis or indication for surgery between the groups.
Surgical time for DC was 14.64 +/- 1.93 min and for PD
3.29 +/- 1.48 min (P < 0.001). The incidence of
immediate complications was similar, but late
complications, especially adhesions, were greater in
DC (P < 0.01). The use of pain medication
(paracetamol) was similar during the first 2 days
after surgery, but was greater in PD from the 3rd day
after surgery (P < 0.05).
|
Table 2 Immediate and late complications.
|
|
DC n (%)
[N=68]
|
PD n (%)
[N=57]
|
p
|
|
Immediate complications
|
|
Total
|
10 (16.17%)
|
3 (5.26%)
|
0.08
|
|
Hemorrhagic
|
5 (7.35%)
|
2 (3.51%)
|
|
|
Reoperation
|
1 (1.47%)
|
0
|
|
Other
|
5 (7.35%)
|
1 (1.75%)
|
|
|
Late complications
|
|
Total
|
8 (11.76%)
|
3 (5.25%)
|
0.34
|
|
Cicatricial
[scarring]
|
6 (8.82%)
|
2 (3.50%)
|
|
Hemorrhagic
|
2 (2.94%)
|
1 (1.75%)
|
|
|
Adhesions
|
20 (29.41%)
|
6 (10.52%)
|
0.014
|
Conclusions: Plastibell™ circumcision has a
shorter surgical duration with fewer late
complications, but requires more analgesic medication
after the 3rd day post surgery.
[One boy in six suffered an
immediate complication and one in nine a late
complication, from the sleeve procedure. More than
one in 20 suffered an early complication, and
another one in 20 a late complication from the
Plastibell™. Nearly three in ten suffered an
adhesion from a sleeve procedure, and more than
one in ten from the Plastibell™. The p-values
reflect only the signicance of difference between
the two operations. As usual, the authors are only
concerned which operation is "better", not whether
it should be done at all.]
|
A Danish study - 5% complications
|
Danish Medical Journal Dan Med J
2013;60(8):A4681
May 30, 2013
Complication rate after circumcision in a
paediatric surgical setting should not be neglected
Jørgen Thorup, Sebastian Cortes Thorup & Inge
Botker Rasmussen Ifaoui
Abstract
Introduction: As a consequence of the
discussion on whether the health benefits of newborn
male circumcision outweigh the risks and the
discrepancies in reported figures of complications, we
evaluated our results from a paediatric surgical
department.
Material and methods: Patient file data from
children who had undergone ritual circumcision in the
1996-2003- period were retrieved. Complications
recorded until December 2011 were noted.
Results: Circumcision in 315 boys aged from 3
weeks to 16 years (median five years) were evaluated.
A total of 16 boys (5.1%) had
significant complications, including three
incomplete circumcisions requiring re-surgery, two
requiring re-surgery six months and five years
postoperatively due to fibrotic phimosis and two
requiring meatotomy due to meatal stenosis two and
three year postoperatively. Acute complications
included two superficial skin infections one week
postoperatively and five cases with prolonged stay or
re-admissions for bleeding the first or second
postoperative day, whereof two underwent operative
treatment. Finally, two had anaesthesiological
complications leading to a need for overnight
surveillance, but no further treatment.
Discussion: Parents should be counselled and
be required to provide informed consent that any
health benefits of childhood circumcision do not
outweigh the reported complication rate and
that therefore they should weigh the health benefits
against the risks in light of their religious,
cultural and personal preferences. As ritual
circumcision is legal, a strong focus on high
surgical/anaesthesiological standards is needed to
avoid complications.
|
A Paediatric Urologist writes
|
Men's
Health
magazine 2/5/2009 9:07 AM CST
Neonatal circmcision is totally unnecessary, and
there is no current role for preventative or
prophylactic neonatal circumcision.
Unfortunately, 70-80% of neonatal circumcisions are
performed by obstetricians, who can neither manage
their complications (2-5% incidence) nor obtain proper
informed consent (defined as outlining risks and
benefits of a procedure, as well as
alternatives-including nothing) for neonatal
circumcision. Currently, the American College of
OB-GYN (ACOG) have no paramenters for training
(learning and performing neonatal circumcision,
managing complications)of residents, who then go out
and continue this practice.
In my practice, as a pediatric urologist, I manage
the complications of neonatal circumcision. For
example, in
a two year period, I was referred 275 newborns and
toddlers with complications of neonatal circumcision.
None of these were 'revisions' because of appearance,
which I do not do. 45% required corrective surgery
(minor as well as major, especially for amputative
injury), whereupon some could be treated locally
without surgery.
Complications of this unnecessary procedure are often
not reported, but of 300 pediatric urologists in this
country who have practices similar to mine...well, one
can do the math, to understand the scope of this
problem...let alone, to understand the adverse
cost-benefit aspect of complications (>$750,000) in
this unfortunate group of infants and young children.
Fortunately, neonatal circumcision is on the decline
as parents become educated...but the complications
still continue.
Until the time that the USA falls in step with the
rest of the planet who does not submit newborns to
neonatal circumcision, ACOG should assure that the
training of obstetricians to perform this procedure is
adequate, particularly in avoiding and managing
complications of a procedure that is unnecessary, and
that obstetricians learn to obtain proper informed
consent from parents who have no idea of the problems
that can ensue.
M.David Gibbons, MD
Associate Professor, Pediatric Urology, Georgetown
University School of Medicine and George Washington
School of Medicine. Attending Pediatric Urologist,
Childrens National Medical Center, Washington, DC.
Director, Pediatric Urology, Georgetown University
Hospital, Washington, DC. Head, Pediatric Urology,
Inova Fairfax Hospital For Children, Falls Church,
Virginia. Posted at Men's Health Magazine on The
Debate Over Circumcision: Should All Males Be
Circumcised? in the comments section
(http://www.menshealth.com/)
|
Some circumcisionists did a study....
|
JAMA Pediatr. Published online May
12, 2014. doi:10.1001/jamapediatrics.2013.5414
Rates of Adverse Events Associated With Male
Circumcision in US Medical Settings, 2001 to 2010
Charbel El Bcheraoui, PhD; Xinjian Zhang, PhD;
Christopher S. Cooper, MD; Charles E. Rose, PhD;
Peter H. Kilmarx, MD; Robert T. Chen, MD, MA
Importance Approximately 1.4 million male
circumcisions (MCs) are performed annually in US
medical settings. However, population-based estimates
of MC-associated adverse events (AEs) are lacking. [And
isn't that scandalous in itself, when the
operation is performed with no diagnosis?]
Objectives To estimate the incidence rate of
MC-associated AEs and to assess whether AE rates
differed by age at circumcision.
Design We selected
41 possible MC AEs based on a literature review and on
medical billing codes. [One
of the commonest complications is meatal stenosis following meatal
ulcer. The word "meatal" does not occur in
the text of the study, only in one of the
references, which is then ignored.] We
estimated a likely risk window for the incidence
calculation for each MC AE based on pathogenesis. We
used 2001 to 2010 data from SDI Health, a large
administrative claims data set, to conduct a
retrospective cohort study.
Setting and Participants SDI Health provided
administrative claims data from inpatient and
outpatient US medical settings.
Main Outcomes and Measures For each AE, we
calculated the incidence per million MCs. We compared
the incidence risk ratio and the incidence rate
difference for circumcised vs uncircumcised newborn
males and for males circumcised at younger than 1
year, age 1 to 9 years, or 10 years or older. An AE
was considered probably related to MC if the incidence
risk ratio significantly
exceeded 1 at P < .05 or occurred only in
circumcised males. [Since P
is itself a measure of significance, how was this
"significant excess" over 1 decided on? Room for a
fudge-factor here - they can just say the
significance is "not enough" over one and ignore
the risk.]
Results Records were available for 1 400 920
circumcised males, 93.3% as newborns. [Extremely
large numbers prove nothing. Garbage in still
means garbage out, just more of it.] Of
41 possible MC AEs, 16 (39.0%) were probable. The
incidence of total MC AEs was slightly less than 0.5%.
[That's
still 6000 adverse events/year, 16/day in the USA.]
Rates of potentially serious MC AEs ranged from 0.76
(95% CI, 0.10-5.43) per million MCs for stricture of
male genital organs to 703.23 (95% CI, 659.22-750.18)
per million MCs for repair of incomplete circumcision.
Compared with boys circumcised at younger than 1 year,
the incidences of probable AEs were approximately
20-fold and 10-fold greater for males circumcised at
age 1 to 9 years and at 10 years or older,
respectively.
Conclusions and Relevance Male circumcision
had a low incidence of AEs overall, especially if the
procedure was performed during the first year of life,
but rose 10-fold to 20-fold when performed after
infancy.
[The narrow definition of
"adverse effects", and the arbitrary measures of
significance, mean this study will inevitably
underestimate the risks of circumcision. Death from
circumcision would not show up in this study, for
example, because the baby would not be returned to
the hospital.]
|
This study, predictibly, got world-wide headlines of the form
"Circumcision safer if done earlier". ("Hurry! This offer won't
last!")
A Utah study - 11.5%
complication rate
|
The
Societies for Pediatric Urology
poster presentation at the 66th annual meeting, May
18-20, 2018
Identification of circumcision complications using a
regional claims database
Glen Lau, Jaewhan Kim, Anthony Schaeffer, Salt Lake
City, UT
INTRODUCTION AND OBJECTIVES: Circumcision
remains a very common procedure in the United States.
Published complication rates are lower than clinical
practice suggests. We aimed to use a population-based
claims database to define the regional 2 year
complication rate in boys who underwent circumcision. We
hypothesized that this rate would be between 1 and 5%.
METHODS: The Utah All-Payer Claims Database
(UAPCD) contains data from health insurance carriers,
Medicaid, and third party administrators in Utah. The
data consist of medical and pharmacy claims as well as
insurance and health care provider data, and all
residents in the State of Utah are included unless they
opt out. The UAPCD was queried for all male patients
aged 0-730 days undergoing circumcision (CPT 54150,
54160 and 54161) during the year 2013. Subjects were
censored if they had less than 2 years of post-procedure
data. Demographic, medical and procedure-specific data
was abstracted. ICD-9 and -10 codes were used to
identify infectious, bleeding, urethral, skin and wound
healing-related complications. Encounters for
circumcision revision (CPT 54161, 54163), or lysis of
penile adhesions (CPT 54162) were noted.
RESULTS: In 2013 there were 26,069 male births
and 6298 circumcisions were captured. [That's
a rate of only 24.1%.] The mean age at
circumcision was 9.8 days for those who had circumcision
with a clamp (CPT 54150), 16.3 days for those who had a
surgical circumcision other than clamp (CPT 54160) and
309.3 days for boys who had a formal circumcision after
the neonatal period (CPT 54161). 725 (11.5%)
complications were identified. The two most common
complications were phimosis in 433 (6.9%) and other
wound related complications such as acquired torsion,
buried penis and edema in 168 (2.7%).
Infectious/inflammatory (1.2%), urethral (0.5%), and
bleeding (0.3%) complications were rare. 101 (1.6%)
patients underwent surgical revision or lysis of penile
adhesions. Complications did not differ significantly
between patients who h the original circumcision in a
hospital vs. an outpatient setting (p=0.33) or in an
urban vs. rural location (p=0.22). When adjusted for
healthcare setting and location, the difference in
complications between patients less than 90 compared to
those 90 to 730 days old was not significant.
CONCLUSIONS: The
incidence of post-circumcision complications at 2
years is much higher than expected at 11.5%,
but does not appear to be influenced by age at
circumcision, healthcare setting or a rural vs. urban
location. A minority of subjects needed reoperation
during the ensuing 2 years.
Source of Funding: None
|
A California study -
worse than thought
Journal of Surgical Research
January 2019, 233, 111-117
DOI: https://doi.org/10.1016/j.jss.2018.07.069
A longitudinal population analysis of cumulative
risks of circumcision
Ya-Ching Hung, David C. Chang, Maggie L. Westfal,
Isobel H. Marks, Peter T. Masiakos, Cassandra M.
Kelleher
Abstract
Background
Circumcision is widely accepted for newborns in the
United States. However, circumcision carries a risk of
complications, the rates of which are not well described
in the contemporary era.
Methods
We performed a longitudinal population analysis of the
California Office of Statewide Health Planning and
Development database between 2005 and 2010. Using
International Classification of Procedures, Ninth
Revision, Clinical Modification and Current Procedural
Terminology codes, we calculated early and late
complication rates by Kaplan–Meier survival estimates.
Late complications were defined as those that occurred
between 30 d and 5 y after circumcision. [So
complications - such as these
- discovered after 5 years of age, including
puberty and adulthood, were not counted.]
Descriptive analysis of complications was obtained by
analysis of variance, chi-square test, or log-rank test.
On adjusted analysis, a Cox proportional hazard model
was performed to determine the risk of early and late
complications, adjusting for patient demographics.
Results
A total of 24,432 circumcised children under age 5 y
were analyzed. Overall, cumulative complication rates
over 5 y were 1.5% in neonates, 0.5% of which were
early, and 2.9% in non-neonates, 2.2% of which were
early. On adjusted analysis, non-neonates had a higher
risk of early complications (OR 18.5). In both neonates
and non-neonates, the majority of patients with late
complications underwent circumcision revision.
Conclusions
Circumcision has a complication
rate higher than previously recognized. Most patients with late complications
after circumcision received an operative circumcision
revision. Clinicians should weigh the surgical
risks against the reported medical benefits of
circumcision when counseling parents about circumcision.
[Ethical clinicians should
decline to perform unnecessary surgery on healthy
children.] |
The following complications are listed in approximately
increasing order of severity.
Correctable complications
Re-adhesion
Circumcising is supposed to make a penis "maintenance-free".
Yet these mothers, all in one region, all report the need for
excessive maintenance, including having to "scrub with a
washcloth" making "diaper changes traumatic" - all without
questioning circumcision itself.


|
In Reuters, via Medscape:
Most Penile Adhesions Resolve Spontaneously
After Neonatal Circumcision
[The real headline:
More Than Two-thirds of Circumcised Babies have
Penile Adhesions]
WESTPORT, Aug 03 (Reuters Health) - Penile adhesions
are common after neonatal circumcision, but most do
not require any intervention, according to researchers
from the Cleveland Clinic Foundation, in Ohio.
Dr. Lee E. Ponsky and colleagues looked for penile
adhesions in all circumcised boys who presented to
their pediatric urology clinic. In total, 254 boys
were examined, ranging in age from 1 month to 19
years, 8 months.
The prevalence of penile adhesions declined with age,
the investigators found. [That,
or the incidence of penile adhesions has been increasing
over the last 20 years.] All told, 71% of infants had adhesions
compared with 28% of boys ages 1 to 5 years, 8% of
those ages 5 to 9 years and 2% of older boys. About
one third of infants had adhesions more severe than
grade 1, compared with 10% of boys ages 1 to 5 years
and none of the boys older than 5 years.
Seven of the patients had been treated for adhesions,
and three of these had recurrences, Dr. Ponsky and
colleagues note.
The findings indicate that most penile adhesions
resolve spontaneously with time, the researchers
write. Although the study did not address the reasons
for spontaneous resolution, they point out that
possible mechanisms include "an increased number of
erections with age, penile growth, hormonal influence
on local tissue and keratin pearl formation." [This
indicates
ignorance of the normal development of the intact
penis, and how it might be affected by
circumcision.]
Based on their findings, the Cleveland researchers
advise against routine lysing of penile adhesions,
except perhaps when they involve the circumcision
line. [Another
conclusion is that these adhesions could be
prevented by not circumcising.]
"Adhesions that involve the circumcision line may be
more likely to cause skin bridges," they note. [How else do they think skin
bridges are caused?]
J Urol 2000;164:495-496.
|
This site for mothers recounts many adhesions requiring "re-circumcision". The
option of not circumcising does not seem to have been
considered.
Other unspecified damage requiring re-circumcision
Facebook, July 17, 2014

Gofundme

- Facebook, cJanuary 25, 2016
Aesthetic damage
Unaesthetic outcomes of circumcision are seldom reported. One
purpose of circumcision is to create a "maintenance-free penis"
and mothers are less inclined to inspect it than mothers of
intact sons. Click here for pictures of
There is a collection of ugly circumcisions on Tumblr
One reason aesthetic damage is so common is that the baby's
penis is tiny compared to the man's. Any mishap is enlarged,
like writing on a balloon.
 |
 |
 |
|
Balloon inscribed then inflated
|
Balloon inflated then inscribed
|
Unspecified Damage

It is unclear what the "ridges" are, or how probing might
fix them.
There should be no clamping and hence no bruising of the
testicles.
Phimosis
Blalock et al. found phimosis in 2.9%
of 521 circumcised boys, two-thirds of them (10/15) with buried
penis. Since "phimosis" (usually a misdiagnosis of the
normal infant attachment of the foreskin to the glans) is a
common reason for circumcision, this is ironic indeed.
Hairy shaft
The shaft of the penis is normally hairless, but erection of a
tightly circumcised penis can
pull hairy scrotal skin on to the shaft, causing discomfort on
intercourse.
One sufferer is shock-jock Howard
Stern. He discussed it on May 4, 2006 at 6.15am.
Wound Dehiscence
Parting of the joined cut edges.
|
Kristen and I also had a bizarre sexual allergy to
each other. Whenever we made love, a painful rash
spread across me which would take about three weeks to
heal. We went to a number of doctors, but we never
resolved the problem. I even had a circumcision to try
to stop the reaction. Being circumcised aged 24 is not
a good idea, particularly if the night after your
operation you find yourself watching Jane Fonda's
erotic film Barbarella. Before I could stop
myself, I had burst my stitches! Hearing my screaming,
Kristen came running to see what the matter was. When
she found out what had happened, she was in stitches.
I no longer was.
- Richard Branson "Losing My Virginity"
p 142
Branson has heavily promoted circumcision in Africa,
in a clear case of the Fox Who
Lost His Tail
|
Pictures of wound dehiscence
(NSFW)
De-gloving
(Where the outer skin layer slides out of alignment with the
mucosa, like a glove coming off a finger)
|
From
the
PSOT blog
To Plastibell or Not To Plastibell?
Comment
for the STFM procedure list dialog on Circumcison
Techniques.
I
have been unhappy with the Plastibell device...
Mogen
is the easiest and fastest with excellent safety,
but lack of fundamental skills with needle and
thread intimidate many from being able to do these
procedures past the newborn period.
...
REPLY MF-MD I would still vote that residents need
to learn Plastibel, too. I did more Plastibels than
Gomco's in residency, and am much more comfortable
with them, and faster. A Urologist that has helped
us with complications we've had with Gomcos said he
sees far more complications with Gomco's than
Plastibel's. And I've had 2 situations
lately where we started one procedure, and for
various reasons switched to the other (one each
way!). And sometimes you go to do a Gomco and find
the size you need isn't available... Just my
thoughts. Mary
REPLY
-WMR I've never seen a long term complication from a
Gomco, but continue to believe that the procedure is
not medically indicated. What are the complications
you witnessed that required care of a urologist, and
could you give me an estimate of their frequency?
REPLY
MF-MD I see residents
differentially pull too much of the outer skin
through, leading to a "de-gloving" problem which
distresses the parents. [It
probably distresses the babies, too.]
I've also see residents
inadvertently separate the two layers as they get
the skin off the bell, again leading to bleeding
and a "de-gloved" appearance. Obviously
this is a teaching issue, and we work to prevent it.
I see/hear this about once a year, overall. The only
complication I've had with a Plastibel in 18 years
(18 years mine and 3 years residency teaching) was
once when we probably used a ring that was slightly
too large and it slipped up onto the shaft after it
separated and required some imagination to get it
off! Mary
REPLY-FORMAN
The only complication I used to get from a Gomco was
the occasional bleeding, easily sutured with some
gut suture.
REPLY
WMR--WE have seen the degloved
effect once every 70 Mogens in the hands of
inexperienced physicians, but it is easily
identified. It does not require urological
consultation, but you do need to identify the
correct anatomical plane and reapply the clamp.
...
Wm
MacMillan Rodney MD
Adjunct Professor of Family Medicine
Meharry/Vanderbilt School of Medicine
Medicos para la Familia
Memphis and Nashville, Tn.
www.psot.com
See
also Ethics for more
admissions from this doctor.
|
A de-gloving in Muncie, IN
Film director Frank Capra was
a victim of de-gloving as an adult.
Lantz's story
Too much skin removed on one side

- Reddit, May 31, 2016
...My brother would have been an amazing police
officer. He killed himself 2 weeks before he was to
become one. The ridicule could have been avoided, the
self loathe and torture of being deformed could have
been avoided.
He was circumcised shortly after he was born. It was
botched badly. His penis was cut short, the opening grew
to the side and it was crooked....
|
- Michelle G on Twitter, May 9, 2018
- reply to Michelle G on Twitter, May 9, 2018
Haemorrhage
(Bleeding), including haemophilia, is now on its own
page
Meatal
stenosis,
meatal ulcer
In
babies:
|
A baby's long foreskin prevents the re-entry of
urine. Ammonia from stale urine attacking the meatus,
the opening of the urethra
in the glans of a
circumcised baby, is believed to attack the delicate
surface, creating an ulcer. Bacteria like E.
coli may also play a part.
This can lead to narrowing (stenosis) of the meatus,
which may have to be corrected by surgery;
meatotomy. Patel
found 31 cases of meatal ulcer and 8 meatal stenoses
in 100 circumcisions. Meatal ulcer can cause urinary
retention and if untreated, kidney failure.
Meatotomy was so common among
Jews in 19th century England that it was called "the second circumcision".
|
|
Urol
J.
2008 Fall;5 (4):233-6
Lubrication of circumcision site for
prevention of meatal stenosis in children
younger than 2 years old.
Bazmamoun H, Ghorbanpour M, Mousavi-Bahar SH.
Department of Pediatrics, Division of
Gastroenterology, School Of Medicine, Hamadan
University Of Medical Sciences, Hamadan, Iran.
dbazmamoun@yahoo.com
INTRODUCTION: Circumcision is one of the
most common surgical operations throughout the
world, and meatal stenosis is one its late
complications. We evaluated the topical use of a
lubricant jelly after circumcision in boys in
order to reduce the risk of meatal stenosis.
MATERIALS AND METHODS: A randomized
control trial was performed, in which 2 groups of
boys younger the 2 years old underwent
circumcision according to the sleeve method. The
parents in the study group were instructed to use
petroleum jelly on the circumcision site after
each diaper change for 6 months. In the control
group, no topical medication was used. The
children were followed up regularly and evaluated
for meatal stenosis, bleeding, infection, and
recovery time.
RESULTS: A total of 197 boys in each group
completed the study. None of the children in the
study group but 13 (6.6%)
in the control group developed meatal stenosis
(P < .001). Infection of
the circumcision site was seen in 3
(1.5%) and 23 (11.7%)
children of the
lubricant and control groups,
respectively (P < .001), and bleeding was seen
in 6 (3.0%) and 37 (18.8%), respectively (P <
.001). The mean time of recovery in the lubricant
group was 3.8 +/- 1.2 days, while it was 6.9 +/-
4.2 days in the control group (P = .03).
CONCLUSION: Based on the findings of this study,
it seems logical to use a lubricant jelly for
reducing postcircumcision meatal stenosis and
other complications.
PMID: 19101896 [PubMed - in process]
[Experimenting on
children in this way would be utterly
unethical in the western world.
The experiment shows
that to prevent meatal stenosis, parents
must use petroleum jelly on the circumcision
site after each diaper change for 6 months.
So much for circumcision making care easier.]
|
In
children:
|
The Surgeon, 2016
Cultural background, non-therapeutic circumcision
and the risk of meatal stenosis and other urethral
stricture disease: Two nationwide register-based
cohort studies in Denmark 1977 - 2013
Morten Frisch, Jacob Simonsen
ABSTRACT
Background:
Meatal stenosis is markedly more common in
circumcised than genitally intact males, affecting 5 - 20 per cent of
circumcised boys. However, no population-based study
has estimated the relative risk of meatal stenosis
and other urethral stricture diseases (USDs) or the
population attributable fraction (AFp)
associated with non-therapeutic circumcision.
Methods:
In two nationwide cohort studies (comprising 4.0
million males of all ages and 810 719 non-Muslim
males aged 0 - 36 years, respectively), we compared
hospital contact rates for USD during 1977 - 2013
between circumcised and intact Danish males. Hazard
ratios (HRs) were obtained using Cox proportional
hazards regression, and the AFp estimated
the proportion of USD cases in <10 year-old boys
that is due to non-therapeutic circumcision.
Results:
Muslim males had higher rates of meatal stenosis
than ethnic Danish males, particularly in lt 10
year-old boys (HR 3.44, 95 per cent confidence
interval 2.42 - 4.88). HRs linking circumcision to
meatal stenosis (10.3, 4.53 - 23.4) or other USDs
(5.14, 3.48 - 7.60) were high, and attempts to
reduce potential misclassification and confounding
further strengthened the association, particularly
in <10 year-old boys (meatal stenosis: 26.3, 9.37
- 73.9; other USDs: 14.0, 6.86 - 28.6). Conservative
calculations revealed that at least 18, 41, 78,
and 81 per cent of USD cases in <10
year-old boys from countries with circumcision
prevalences as in Denmark, the United Kingdom, the
United States and Israel, respectively, may
be attributable to non-therapeutic
circumcision.
Conclusion:
Our study provides population-based
epidemiological evidence that circumcision
removes the natural protection against meatal
stenosis and, possibly, other USDs as
well.
|
|
BRITISH
JOURNAL
OF UROLOGY, Volume 75, Number 1: Pages 91-93,
January 1995.
Clinical presentation and pathophysiology of
meatal stenosis following circumcision.
Persad R; Sharma S; McTavish J; Imber C;
Mouriquand PD
Department of Paediatric Urology, Addenbrooke's
Hospital, Cambridge, UK.
OBJECTIVE: To describe the clinical
presentation and pathophysiology of meatal
stenosis occurring after circumcision.
PATIENTS AND METHODS: The clinical
presentation and operative findings are reported
in 12 children who presented with meatal stenosis
over a period of 3 years.
The cardinal symptoms of meatal stenosis were
penile pain at the initiation of micturition (12
of 12), narrow, high velocity stream (8 of 12) and
the need to sit or stand back from the toilet bowl
to urinate (6 of 12). Following surgical
correction with meatotomy there was no recurrence
of stenosis after a mean follow-up of 13 months.
Traumatic meatitis of the unprotected
post-circumcision urethral meatus and/or meatal
ischaemia following damage
to the frenular artery at circumcision
are suggested as possible causes of meatal
stenosis.
Preservation of the frenular artery at
circumcision, or the use of an alternative
procedure (preputial plasty), may be advisable
when foreskin surgery is required, to avoid meatal
stenosis after circumcision.
...
DISCUSSION AND CONCLUSIONS
Meatal stenosis as a
complication is often missed by the
clinician because children
do not usually have late follow-up after
circumcision. The symptoms of pain are
often mistaken for symptoms of a lower urinary
tract infection and symptoms of distal urethral
impairment of urinary flow are usually ignored for
many months
...
88 circumcisions (and
91 preputial plasties) were performed at this
institution: seven
of these patients (8%)
presented with meatal
stenosis.
...
|
In
adults:
|
A pathologist writes:
A patch of surface necrosis [dead tissue] is
commonly seen on the glans
of adult circ patients. In all the ones I have
seen, the necrosis (which appears as a dark purple
area) was in the ventral
aspect from about the attachment of the frenulum
up to and partly surrounding the meatus; I have
never seen necrosis in the dorsal
aspect. Even if the frenular artery is not severed
(standard methods caution about taking care not to
cut this artery by damaging the frenulum, hence
the noticable increase in numbers of cut boys with
an intact frenulum over the last decade or two),
the disruption of the venous drainage via the
paired frenular veins would have the same effect
of preventing circulation across the extensive
capillary plexus [network] in the skin of the
glans and meatus. This disruption is inevitable as
all the superficial veins (including the frenular)
are cut in any form of circumcision, but I suspect
that the dorsal surface has other alternative
routes via the deeper veins.
Loss of circulation through the glanular skin
would take some days for the capillary bed to
undergo angiogenesis [growth of blood vessels] in
the healing sequence, during which time the
epithelial [top layer] cells would die, which in
turn would expose the underlying [layer], and that
is exactly how an ulcer is defined.
Once the dermis is exposed, abrasion with clothing
etc. will irritate and impair/delay healing.
Healing of this ulcer increases the collagen in
the tissue as part of the repair process which we
see as a scar, this being increased with any
irritation or extension of the healing time and
the loss of stretch capacity leads to [narrowing]
of the meatal
opening.
|
A series
of cases were reported a few years ago in J Urol using
topical anesthesia for meatotomy.
Most cases are done under general anesthesia. It costs
about $1500 to have it done as an outpatient.
Urethrocutaneous
Fistula
| J Pediatr Surg 2003 Apr;38 (4):642-3
A very late onset urethral fistula
coexisting with skin
bridge after neonatal circumcision: A case
report.
Yazici M, Etensel B, Gursoy H.
Adnan Menderes University, Department of
Pediatric Surgery, Aydin, Turkey.
Complications of neonatal circumcision are
generally minor and occur early; a few reports
exist on the late or serious kind. The authors
describe a case of urethrocutaneous
fistula occurring 13 years postcircumcision. The
patient also had a skin bridge, another late
complication of circumcision. The authors suggest
erections in puberty as the triggering factor for
onset of fistula. To our knowledge, neither such a
late occurrence of fistula nor coexistence of
these complications have been reported.
J Pediatr Surg 38:642-643. Copyright 2003,
Elsevier Science (USA). All rights reserved.
PMID: 12677587 [PubMed - in process]
[Lack of reporting of
these complications has more to do with
failure of follow-up of circumcision, than
actual rarity. Skin bridges are remarkably
common.]
|
Facebook, May 10, 2013
|
Infection
Making a
wound on a newborn near the source of faeces presents a
significant risk of infection. Patel
found 8 infections from 100 circumcisions. Infection can
lead to meningitis and death.
Staphlococcus
|
Enzenauer RW, Dotson CR, Leonard T, et al. Male
Predominance in Persistent Staphylococcal
Colonization and Infection of the Newborn.
Hawaii Medical Journal 1985;44 (10):389-90, 392,
394-6.
The authors conclude:
The increased incidence of staphylococcal
colonization and pyoderma in males may be
associated with circumcision performed after the
first 24 hours of life in the nursery.
Circumcision is performed on approximately 90% of
the male infants horn at our hospital.6
In our study population, 87% of the males were
circumcized.
Circumcision, by its very nature, requires more
staff-patient "hands-on" contact. The infants are
all lined up and tbeir stomachs lavaged [pumped]
clear in preparation for the procedure. The
circumcisions are done daily, as a group, in a
small area, using reusable circumcision
restraints.
Postoperatively, there is also more handling of
the diaper area in caring for the fresh,
hemorrhagic wound.
A larger study. involving more infants, is
required to validate the hypothesis that
circumcision is the culprit responsible for the
increased rate of staphylococcal colonization and
infection in newborn males. This may be due to the
remarkably high rate of neonatal circumcision done
in the United States. A much smaller study would
be satisfactory if it were performed in Great
Britain or one of the developed countries of
Europe, where the incidence of noncircumcision is
more equal to the rate of circumcision in the U.S.
Gellis eloquently indicted circumcision, noting
that the infant "has enough portals of entry for
organisms as it is," referring to the infant's
nose, mouth, conjunctiva, and the cut end of his
umbilicus. "It seems totally unnecessary to aid
and abet lurking bacteria by adding a raw wound to
his genitalia."19
Tuberculosis & Airborne Disease Weekly
Tuesday, April 4, 2000
Staphylococcus Rash in Babies Linked to Health
Care Workers
2000 APR 4 - (NewsRx.com)
An outbreak of Staphylococcus aureus pustulous
rash in a group of newborn, circumcised babies has
been linked to medical workers in the neonatal
nursery.
The outbreak occurred in the newborn nursery of a
150-bed naval hospital in eastern North Carolina
and lasted from August to January of 1999.
"Cases were newborn males who had undergone a
circumcision procedure and post-discharge required
anitmicrobial treatment for severe postulous
diaper rash," reported
K.K.
Hoffmann and colleagues. Seventeen cases out
of 36 total were cultured, and all 17 showed
methicillin-sensitive, erythromycin-resistant S.
aureus.
As usual, the article is at pains to blame the
health workers, not the circumcisions.
|
In one
hospital in Long Island, in October 2003, four
baby boys contracted antibiotic-resistant staph.
infections after being circumcised.
One man
has been severely
disabled
for life as a result of a staphlococcal infection
from circumcision, resulting in, among other things, the removal of half his brain.
Doctors
Opposing Circumcision warns (23 October, 2005) that the
risk of Methicillin-Resistant Staphylococcus Aureus (MRSA)
is now too great to allow non-medically indicated
ciricumcision to continue:
|
... The advent of MRSA in epidemic proportions
increases risks associated with male neonatal
circumcision beyond those previously contemplated
and further increases the desirability of the
non-circumcision option. MRSA and other
antibiotic-resistant varieties of SA, such as
vancomycin-resistant Staphylococcus aureus
(VRSA), increase risk, including death, to newborn
circumcised boys. In view of this increased risk,
the American Academy of Pediatrics and the
American College of Obstetricians and
Gynecologists should review their policy (2002) of
offering elective medically unnecessary
non-therapeutic neonatal circumcision at parental
request.
... Medical practitioners must consider the
epidemic status of MRSA and exercise their
independent judgment regarding the performance of
non-therapeutic neonatal circumcision. There is an
ethical duty to not perform scientifically
invalid medical treatment, especially when it puts
the patient at risk. Doctors must act in the best
interests of their child-patients regardless of
parental requests. Doctors may conscientiously
object to the performance of non-therapeutic
circumcision of children.
Complete
text
|
Staphylococcal
scalded skin syndrome
(Also
known as Ritter's disease, toxic epidermal necrolysis and
in adults, Lyall syndrome.)
In the
American Journal of Diseases of the Child, Vol 132, No 12:
Pp 1187-8, December 1978, Staphylococcal scalded skin syndrome A
complication of circumcision, David Annunziato
and Louis M. Goldblum describe three cases, one
fatal.
Hepatitis
B
|
Turk
J
Gastroenterol. 2002 Mar;13 (1):1-5
Hepatitis B seroprevalance and risk factors in
urban areas of Malatya.
Kurcer MA, Pehlivan E.
Inonu University Medical School, Department of
Public Health, Malatya.
BACKGROUND/AIMS: To determine the
prevalence of hepatitis B viral markers and to
assess possible risk factors in urban areas of
Malatya.
METHODS: This was a sero-epidemiological,
community based cross-sectional study and included
646 participants ( female 352, male:294) from 192
houses. A face to face questionnaire was carried
out and HBsAg, anti-HBc and anti- HBs markers were
analyzed from blood samples using Micro ELISA
technique.
RESULTS: The prevalence of HBsAg, anti-HBc
and anti-HBs were found to be 6.0%, 29.3% and
30.3% respectively. In the final logistic
regression, HBV infection (=anti HBc+) was
independently associated with the age group of 21
years and older (OR=3.7, 95% CI=1.884-7.494), in
illiterate subjects (OR=2.1, 95% CI=1.180-3.326),
in farmers and labourers (OR=2.8, 95%
CI=1.042-7.953) and in these with multiple sexual
partners (OR=2.1, 95% CI=1.574-8.168). In
addition, HBV
infection was significantly higher in
circumcised male children compare to
uncircumcised ones ( chi2=5.58,
P=0.01), in ones who gave birth to child at home
compare to in ones who gave birth to a child at
hospital ( chi2=13.86, P=0.0001).
CONCLUSION: The results of our study
indicate that Malatya province has a moderate
endemicity with regard to HBV infection.
PMID: 16378266 [PubMed]
|
Tetanus
|
Bull Soc Pathol Exot. 2008 Feb;101 (1):54-7
Post-circumcision tetanus in Dakar, Senegal
[Article in French]
Soumaré M , Seydi M , Dia NM , Diop SA , N'dour
CT , Diouf L , Diop BM , Sow PS .
This study aimed at describing the epidemiology,
clinical features and prognosis of
post-circumcision tetanus at the infectious
diseases clinic in Fann Hospital in Dakar.
Data were collected retrospectively for analysis
from patients' files recorded from January 1, 1999
to December 31, 2006. 54 cases were included,
accounting for 4% of all tetanus cases admitted to
the clinic during the study period (54
cases/1291). The patients' average age was 9 +/-
3.7 years old (range = 1-17 years) and 52% of them
were schoolboys.
In most cases (76%), tetanus symptoms occurred
beyond 7 days after circumcision. The average
delay from onset of the disease to admission was
2.3 days (range = 0-6 days). The
circumcision took place at home in 39% of
cases, in health center in
35% of cases and in unspecified area in
26% of cases. The majority of patients (85%) had
never received tetanus vaccine and, in 72% of the
cases, the circumciser was designated as a male
nurse.
Generalized tetanus was observed in all cases,
most of which was a mild form of the disease
(63%). During hospitalisation, thirteen patients
(24%) had complications among which diaphragmatic
and intercostal muscle spasms (3 cases),
bacteraemia (5 cases), respiratory infection (4
cases), urinary tract infection (4 cases), and
fracture of the vertebrae (1 case). The
case fatality rate was 7.4% (4 deaths).
Vaccination together with health education of the
population as well as a better sensitization of
the practitioners are necessary to eradicate
tetanus after circumcision. [Not
circumcising would also have that effect.]
|
Bladder
Infections
|
miffyrabbit in The
Guardian, May 12, 2010
... My parents decided to circumsize me as a
toddler. ... they considered it to be more
hygienic. Consequently through my life I've been
blighted with bladder infections - two of which
hospitalised me. Urinary tract infections are far
more serious in men than women; obviously because
of the difference in plumbing. Also, but less
importantly, I have absolutely no sensation where
it matters in my private parts because I had such
an aggressive circumsition.
|
Septic
Arthritis
Other
unspecified infections
-
Soggy Mamas on Facebook, October 25,
2014
-
Soggy Mamas on Facebook, December
10, 2014

-
posted in Circumcision Mutilation Watch, June
29, 2016
Neuroma
Destruction
of the large number of the nerve-endings of the prepuce is
inevitable in circumcision. Human and animal studies show
that when a nerve is cut, the cut end swells up greatly
and the fibre sprouts and branches, resulting in "a
disordered tangle of axons, Schwann cells and fibrous
tissue" instead of the original receptor. According to
Cold and Taylor, studies of circumcision sites show
amputation neuromas
- well-known for causing sensations of pain. It may be
speculated that a confusion between these pain sensations
and sexual pleasure are an outcome of circumcision.
-
based on Cold, CJ and Taylor, JR, The Prepuce
in BJU International 83, Suppl 1, 34-44 (1999)
Blockage
of the urethra
|
A baby born in Saskatchewan was circumcised with
a Plastibell
TM at six
days old. In the next two days his bladder swelled
to the size of a tennis ball (in a newborn, that's
big). This put pressure on his inferior vena cava,
the main vein draining the lower body, which
caused his lower body to swell and turn blue.

Click
on
the thumbnail for a full-size image
Going in through the baby's belly, doctors
drained 200 mL of urine. When they removed the
Plastibell TM,
they found it was embedded in his glans.
The baby passed more than 600 mL of urine in the
following 12 hours. It took him two days to
recover.
One study of 2000 PlastibellTM
circumcisions found a complication rate of 1.8%.
- Linh Ly and Koravangattu Sankaran
Acute
venous
stasis
and swelling of the lower abdomen
and extremities in an infant
after circumcision
CMAJ 2003; 169: 216-217
Another baby, in Ontario, was not
so lucky.
|
|
Korean J Pediatr. 2015
Apr;58(4):154-7. doi:
10.3345/kjp.2015.58.4.154. Epub 2015 Apr 22
Urosepsis and postrenal acute renal failure in a
neonate following circumcision with Plastibell
device
Kalyanaraman M, McQueen D, Sykes J, Phatak T,
Malik F, Raghava PS
Abstract
Plastibell is one of the three most common
devices used for neonatal circumcision in the
United States, with a complication rate as low as
1.8%. [Low?
That's one every 24 minutes in the USA.]
The Plastibell circumcision device is commonly
used under local anesthesia for religious [?]
circumcision in male neonates, because of cosmetic
reasons and ease of use. Occasionally, instead of
falling off, the device may get buried under the
skin along the shaft of the penis, thereby
obstructing the normal flow of urine. Furthermore,
the
foreskin of neonates is highly vascularized,
and hence, hemorrhage and infection are possible
when the skin is cut. Necrosis of penile skin,
followed by urethral obstruction and renal
failure, is a serious surgical mishap requiring
immediate corrective surgery and medical
attention. We report a case of fulminant
urosepsis, acute renal failure, and
pyelonephritis in a 4-day-old male neonate
secondary to impaction of a Plastibell
circumcision device. Immediate medical management
was initiated with fluid resuscitation and
mechanical ventilation; thereby correcting life threatening
complications. Pediatricians and Emergency
Department physicians should be cognizant of the
complications from Plastibell circumcision device
in order to institute appropriate and timely
management in neonates.
[All six authors are affiliated with the
Department of Pediatric Critical Care
Medicine, Children's Hospital of New Jersey at
Newark Beth Israel Medical Center, Newark, NJ,
USA, yet this complication of an American
circumcision was reported in a South
Korean journal! None of the authors'
names is Korean.]
|
Buried penis
This
condition may arise from natural causes and/or overly
"aggressive" circumcision, when it may be known as "iatrogenically
entrapped penis". The shaft of the penis is buried below
the surface of the pubic skin. A true congential buried
penis is rare. It is caused by an abnormally large pad of
fat over the pubic bones and dense tissue that holds and
pulls the penis inward. The skin of the shaft is pushed
forward over the glans,
giving the appearance of an unusually long foreskin.
Circumcising an unrecognized buried penis can remove shaft
skin as well as the foreskin, making the case even worse.
If the penis was not buried already, removing too much
shaft skin when circumcising can bury it by pulling it
down into the pubic fat. A second circumcision may be
incorrectly performed on patients with various causes of
concealment, preventing repairs made by using the
remaining shaft skin or foreskin. Instead the boy will
need a skin graft.
|
By: thirdkane, posted on SueEasy
2008-04-26
I'm a 35 y/o male with a lifetime disfiguration as
a result of circumcision as a child. My penis is
inverted inside my body and as a result have faced
a lot of distress emotionally and socially. It has
effected my life negativly in so many ways, love
life, school to where I missed years worth of
school because i was ashamed of my disfigurment to
avoid manditory showering with my peers.
|
Boys with
a buried penis are often told that they will grow out of
it, and many cases will improve, but some will never have
a penis that looks as long or works as well as it might. A
boy with a deeply buried penis may be ridiculed by other
boys. If he has no visible penis when he is standing up,
he may have to sit down to urinate.
Buried
penis can be corrected by (more) surgery, cutting out
pubic fat and sewing down the skin of the groin and
scrotum.
A mother's story
Penoscrotal
Webbing
If too
much skin is taken, the skin of the scrotum is pulled up
the shaft of the penis, making it appear shorter and
hairy. The "webbing" arises from the raphe
of the scrotum being pulled ahead of the rest of it. It
can be corrected by more surgery ("Z-plasty")
Painful
erections
![''Too much skin was taken...painful erection and skin rips''[image filed under resent]](Images/resent/resent-fletch.png)
The
scandal
is that with no long-term followup, we have no idea how
many men suffer like this.
Deformity
Click
here for a case of gross deformity
due to circumcision.
Ischaemia
Glans ischemia after
circumcision and dorsal penile nerve block:
Case report and review of the literature.
Urol Ann. 2015 Oct-Dec;7(4):541-3
Authors: Garrido-Abad P, Suárez-Fonseca C
Abstract
Circumcision is an easy commonly performed
surgical procedure in childhood. However, it is
not free of a low number of complications,
(1-5-5%). Here we report a case of a 3-year-old
boy with glans superficial necrosis [tissue
death] after circumcision,
managed with topical (nitroglycerin,
gentamicin), oral (pentoxifylline) and epidural
(urgent caudal block with bupivacaine)
treatment. A review of the literature and the
different treatments reported by other authors
was done. After 7 days of
treatment, local signs of ischemia and
severe pain
disappeared, without adverse events related to
treatment. Although the ischemia or necrosis of
the glans after circumcision are rare, we may
suspect them in case of presence of severe acute
pain or dark color. We report the successful
management of this complication.
PMID: 26692685 [PubMed]
|
Gangrene
|
British Medical Journal BMJ
Case Reports 2012; doi:10.1136/bcr-2012-007096
October , 2012
Electrocautery-induced gangrene of the glans
penis in a child following circumcision
By Gunalp Uzun, Yavuz Ozdemir, Murat Eroglu,
Mesut Mutluoglu
Description
A 7-year-old child was brought to the hyperbaric
[raised pressure] oxygen centre because of
cyanosis [blueness] of his glans penis. He had
been circumcised the same day with the use of a
monopolar electrocautery device. Unfortunately,
the electrocautery caused a severe burn injury on
the glans of the child. On examination, he had
necrosis [dead tissue] over the glans and shaft of
the penis.
figure
1 [NSFW, Not for
the squeamish]
"Necrosis of glans and penile shaft."
Circumcision is a religious and traditional
ritual in some cultures and involves the removal
of the preputium penis. It may be performed by a
variety of techniques, and although it is regarded
as a relatively safe procedure, it does, like any
surgical procedure, carry the risk of
complications. Choosing the most appropriate
technique and giving the highest attention and
care will avoid most
of these complications. Bipolar electrocautery has
been shown to be safe in circumcision. However,
the use of a monopolar electrocautery, as was the
case in this patient, has resulted in a dramatic
accident. [Should it be
called "unfortunate" or an "accident" when
monopolar electocautery inevitably
fries the penis like a hot-dog cooker]
Indeed, when a monopolar electrode is used, the
electrical current is carried by the small
diameter of the penis, which may lead to tissue
heating and thus thermal injury. Although
adjunctive hyperbaric oxygen therapy was
administered in the following days, the lesion
worsened and resulted in significant tissue loss
involving the whole glans and the distal parts of
the penile shaft.
figure
2 [NSFW and not
for the squeamish]
"Despite hyperbaric oxygen therapy and wound care,
debridement [removal of dead tissue - in this
case, most of the penis] was unavoidable."
|
Necrotising
Fasciitis (Galloping gangrene)
Click
here for pictures of galloping
gangrene from circumcision (Not for the squeamish.)
Epidermal
Inclusion
Cyst
|
IOSR Journal of Dental and Medical
Sciences (IOSR-JDMS), Volume 13, Issue 10
Ver. IV (Oct. 2014), PP 73-75
ost Circumcision Penile Epidermal Inclusion
Cyst: A Case Report
Ofoha C.G., Dakum N.K.
Abstract:
Post circumcision penile epidermal inclusion
cysts are rare and few cases have been reported
worldwide. A five year old boy presented with a
complaint of a mass located at the dorsal aspect
of the penis along the circumcision scar. The
mass was noticed few weeks after circumcision.
On examination the mass was located at the
dorsal aspect of the penis proximal to the
coronal sulcus along the circumcision scar and
measured about 1cm × 1.5cm. It was oval in shape
with no differential warmth and non tender. The
mass was smooth, firm, mobile and with well
defined edges. The overlying skin was normal
with no punctum. The mass was excised under
general anaesthesia. Histologic sections show an
attenuated cystic structure, lined by stratified
squamous epithelium containing keratin debris
and amorphous material. Histologic diagnosis was
epidermal inclusion cyst. Post circumcision
epidermal inclusion cyst is usually easy to
diagnose from history and physical examination.
Complete total excision is usually curative and
prevents recurrence
|
Priapism
caused by necrosis
|
Zhonghua Nan Ke Xue. 2005 Jul;11 (7):544-7.
[Integrated treatment for priapism caused by
circumcision: a case report] [Article in Chinese]
Jin BF, Huang YF, Shao CA, Xia XY, Guan FG, Li G,
Wang J.
Department of Andrology, Nanjing
General Hospital of Nanjing Command, PLA,
Nanjing, Jiangsu 210002, China. hexiking@126.com
Priapism [permanent erection] is rare on clinical
condition with complicated pathogenesis which is
very difficult to cure. The paper reported a case
of a long-time priapism complicated by local skin
necrosis [tissue death], which was caused by
circumcision. After the failure of routine
therapy, we treated the patient with traditional
Chinese therapy, such as TCM herbs combined with
bone scraping and depletion therapy, and achieved
the satisfactory effect.
PMID: 16078678 [PubMed - in
process]
|
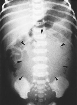
Gastric
rupture
Connelly
KP, Shropshire LC, Salzberg A, "Gastric rupture associated
with prolonged crying in a newborn undergoing
circumcision," Clin Pediatr, Sept. 1992, 560-561.
Oxygen
deprivation
1.
|
The
State
Columbia, South Carolina
July 10, 1992
Boy in coma most
of his 6 years dies
A boy who was in a coma for more than six years
while a legal battle raged around him has died ...
Allen A. Ervin was born in July 1985 and had been
on life support since December 1985, when his
brain was damaged from oxygen deprivation during
circumcision. He died at Spartanburg Regional
Medical Center on Wednesday, three weeks before
his 7th birthday
... The anesthesiologists who attended to Allen
during the circumcision settled the case for
$435,000 and agreed to lifetime payment of his
medical bills.
|
2.
|
From the
webpage of WILLIAM E. ARTZ, P.C.
The infant Plaintiff, age 20 months, was
scheduled for an elective circumcision on 5/18/92.
Upon arrival at the hospital, the infant Plaintiff
presented with a fever of 100.4 degrees, runny
nose, and a dry cough for one week. Rather than
cancel surgery, the anesthesiologists cleared the
patient. Upon induction of anesthesia, the infant
Plaintiff went into laryngospasm and required a
paralyzing drug and intubation. Concern arose that
the infant had developed pulmonary edema and might
need transfer to a tertiary level facility better
able to manage the airway. After 2 ½ hours of
observation in the operating room, a discussion
ensued as to whether the infant Plaintiff needed
transfer at all. The pulmonary edema was largely
resolved, the arterial blood gases were
dramatically inproved, and the child's O2
saturation
levels and lung function were close to normal.
Nevertheless, a decision was made to transfer.
Upon arrival at the second hospital, the child
came under the largely unsupervised care of an
anesthesiologist in his fellowship (one year after
residency) on rotation from a neighboring
hospital. The treatment plan called for continued
intubation and periodic medication which both
sedated and paralyzed the child. The arterial
blood gases taken at 2:50 p.m. on 5/18 showed
virtually normal lung function, making the child a
candidate for extubation (tube removal). The
anesthesiologist fellow nevertheless decided to
continue with intubation and sedation. The
sedation was being administered hourly, but the
amount was effective for only 30 minutes.
Thereafter, the child, by virtue of his agitation
and thrashing about, self-extubated at
approximately 6:00 p.m. As a result, O2
from the ventilator was delivered down the
esophagus into the stomach, causing projectile
vomiting at 6:10 p.m. With the tube out of the
trachea and the child unsedated, the infant
Plaintiff was able to breathe on his own. At 6:20
p.m., the anesthesiologist fellow administered
sedation and a paralyzing drug. At 6:25 p.m., the
child's heart rate dropped to 47, and then into
the 30's. Instead of removing the endotracheal
tube and reinserting a new tube, the
anesthesiologist fellow administered atropine and
epinephrine pharmacologically, causing the heart
rate to rise and then drop again. At 6:40 p.m., he
finally removed the tube and reintubated the
child. Ventilation improved dramatically, but the
infant Plaintiff sustained severe hypoxic brain
damage as a result of the 15 minute delay in
correcting the airway. The infant remained
hospitalized for two additional months and was
eventually discharged home, where he is cared for
by his parents and three sisters.
The infant Plaintiff's cognitive level will not
develop beyond first grade level. He has cerebral
palsy of the lower extremities, but is expected to
be able to walk with tendon-lengthening surgery
and a walker. As of age 4, he was not potty
trained.
The medicals incurred as of settlement were
$175,000, and the lost wage claim totalled
$713,000. Cost of future care, were the infant to
be placed in a full service school, exceeded $5.6
million by projection, although defense experts
felt the child's needs could be fully met with a
present value annuity costing $3 million.
The defendants were two hospitals and an
anesthesia group, plus two individual
anesthesiologists.
|
Brain
Damage
Click
here for the settlement in the case of the brain
damage to Jacob Sweet in Anchorage, Alaska.
Clamp
injuries
| Tuesday
August 29 2001 5:34 PM ET
US
warns of circumcision clamp injury risk
WASHINGTON
(Reuters Health) - Reports of complications
associated with certain kinds of circumcision
clamps have spurred the US Food and Drug
Administration (FDA) to issue a letter to
physicians warning them of the potential for
injury if the clamps are misused.
In
the letter, doctors are advised not to
substitute or interchange clamp components and
to ensure that clamps appropriately fit the
patient.
"Although
research suggests that circumcision is generally
a safe procedure, we are concerned that some
serious device-related complications have
occurred," the FDA said in the letter. Between
July 1996 and January 2001, the agency has
received 105 reports of injuries involving the
clamps, including cuts and bleeding, penile
amputation, and urethral damage.
Clamps
are used during circumcision to
protect the penis while the foreskin is
being removed [implying
that
the foreskin is not part of the penis].
"The
use of...clamps that have been reassembled by
users with parts from different manufacturers,
or that have bent parts or mismatched
components, has led to clamps breaking,
slipping, falling off during use, tearing penile
tissue or failing to make a tight seal," the FDA
said.
The
agency points out that "although...clamps may
appear to have interchangeable parts, these
parts may not always be safely interchanged
because they may vary slightly in dimensions."
The
injuries associated with other types of clamps,
meanwhile, stem from the use of clamps "that
have jaw gap dimensions greater than those in
the manufacturer's specifications, or use of
clamps inappropriately sized for patients." This
may "allow too much tissue to be drawn through
the opening of the device, thus facilitating the
removal of an excessive amount of foreskin and
in some cases, a portion of the glans," the FDA
said.
For
this type of clamp, the agency recommends that
surgeons "ensure that the clamp being used is
appropriate for the patient size," noting that
"some manufacturers have two sizes of clamps,
one for adults and the other for infants."
|
| NYTimes
Oy!
Did You Hear the One About the Overzealous
Mohel?
11/13/06
11:59 AM
Court Reporter
Plaintiffs: L.G., a minor, by and through
his parents and next friends, Dror Gerges and
Sivan Gerges
Defendants: Daniel J. Krimsky; Mogen
Circumcision Instruments Ltd.
Accusation: An Oceanside, Long Island,
rabbi is accused of lopping off the head of an
8-day-old's penis during a Bris on December 16,
2004.
According to the federal complaint filed last
week in Central Islip, New York, not only was
Daniel Krimsky unqualified to perform a Bris, but
the circumcision tool he used — called a "Mogen
clamp" for the overly curious — was faulty,
and instructions failed to warn against the
(seemingly obvious) risk of severing. What's
worse, the rabbi then tried to hide his error, and
the boy's injuries only came to light when a
physician attending the Bris noticed something was
wrong and spoke up.
"L.G. was required to undergo corrective surgery
... which was not entirely successful," reads the
complaint, which is a delicate way of saying
doctors were unsuccessful in reattaching the boy's
penis. " (He) has been permanently disfigured and
mutilated, and will suffer forever from a
disfigured and mutilated penis, and from the loss
of sexual feeling and function."
So, what price for a partial penis? [implying
a circumcised penis is not "partial"]
Plaintiffs seek $150,000 in damages from the rabbi
and another $150,000 from the makers of the "Mogen
clamp." Only time will tell if the boy will
consider that a fair trade when he grows up.
Disposition: Awaiting response from the
rabbi and the clamp manufacturer, who will likely
seek to have the case tossed like poor little
L.G.'s foreskin.
You can read
the
complaint here.
— Nick Divito
|
Plastibell™
Ring
injury
|
Journal
of
Pediatric Urology Volume 6, Issue 1, Pages
23-27 (February 2010)
Penile injuries from proximal migration of the
plastibell circumcision ring
C.O. Bode and A.O. Ademuyiwaa
Pediatric Surgery Unit, Department of Surgery,
College of Medicine University of Lagos / Lagos
University Teaching Hospital, PMB 12003 Lagos,
Nigeria
Abstract
Background
Although circumcision is the commonest surgical
procedure performed on male neonates,
complications still arise from all methods used by
operators.
Patients and method
This was a prospective study of penile injuries
resulting from proximal migration of the
Plastibell device in neonate boys referred to the
Lagos University Teaching Hospital, Lagos,
Nigeria. The parameters measured were patients'
biodata, presentation, management and treatment
outcome.
Results
Twenty-three injuries resulting from circumcision
with the Plastibell device all occurred from
prolonged retention of the ring. In each case, the
ring was retained and had migrated proximally.
There was extensive skin loss in 17 (74%) babies.
Urethrocutaneous fistulae were the result in nine
(39%) of these cases, while partial necrosis of
the glans penis occurred in four (17%). These
complications resulted from the use of wrong-sized
Plastibell kits, lack of follow-up by the medical
staff, and inadequate maternal knowledge of ring
fall-out time.
Conclusion
Proximal migration of the Plastibell ring can
result from employment of an inappropriate size,
causing grievous penile injury. Adequate
information should be provided to mothers of
circumcised babies about possible complications of
the Plastibell kit when employed. There is a need
to redesign the Plastibell kit to eliminate its
migration up the penile shaft.
These
pictures appeared on the web about the
time this study came out, and may refer to it.
(Not for the squeamish)
|
-
BabyCenter, October 18, 2014

Facebook,
August 25, 2022
Loss
of glans
|
Savage
Love
by
Dan Savage
[Village Voice] October 26th, 2004 1:00 PM
Q.
I am 24 years old and lost my entire glans
penis, the head of my dick, in a botched
circumcision. Basically I have a shaft but
there's no head at the end. Unfortunately, I
was left with my balls so I still have a sex
drive, but it's nearly impossible for me to
climax. When I was much younger, around 14 to
16, I could sometimes masturbate to a climax,
but after a couple of years I stopped being
able to do this. Some of the women I've been
with never saw the condition of my penis, and
failed to notice when I didn't come. Others
have seen my condition before intercourse and
refused to have sex with me, while still
others found out afterward, after I wasn't
able to come, and then never wanted to have
sex with me again. Of course I never dare to
ask anyone to suck me, although this might
provide the necessary extra stimulation and
actually help me climax. So my problem, Dan,
is twofold: I can't come and I can't get
anyone to stick around and help me try to
come. Can you suggest any special techniques
for someone in my condition? Any help would be
appreciated. I'm very miserable, frustrated,
and lonely. —MUTILATED AND COMELESS
A.
OK, A.Z., after reading MAC's letter, and after
insisting your husband read MAC's letter, is
circumcision really something you want to risk?
I know, I know, "complications," as it's
delicately put, are rare after circumcision. But
even if the odds are low—even if they're
infinitesimal—the thought of having to look your
glans-less son in the eye one day and say,
"We're awfully sorry about that botched
circumcision, son, but your father and I used to
know this woman who once dumped a guy because he
was uncircumcised, you see, and we didn't want
to risk that ever happening to you . . . and . .
. so. Sorry." Speaking parent-to-parent, A.Z.,
and speaking as a contentedly circumcised adult
male who likes his dick just the way it is and
has no truck whatsoever with hysterical
anti-circumcision activists (whew!), I would
rather teach my son to wash under his foreskin
than assume even the tiniest risk of him losing
the head of his penis in a botched circumcision.
OK,
MAC, on to you. Jesus, Jesus, Jesus. Rarely am I
left speechless or bereft of any suggestions at
all after reading a letter, but Christ almighty,
I haven't the faintest idea what to tell you.
But I ache for you, kiddo, and so I'm throwing
open the switchboards here at Savage Love HQ and
putting out a call for advice from my
resourceful readers. If anyone out there has any
expertise on headless dicks or knows of any
special techniques for people in MAC's
condition, please write in. Write in right now.
|
|
As an infant, I underwent the usual (then)
curcumcision procedure. ... I'm from the
upper-midwest US area where this was common
practice. ... It seems something went wrong during
the suposidly "simple" procedure. My glans was
sliced off. Apparently there was an attempt to
re-attach it with out success. So I was left
without the usual head on the end of my member.
... Apparently the doctor who performed the
mis-hap, felt a bit guilty about the whole affair
(as he well should have) and at some point later
in my infancy modified my ramaining foreskin,
(which was apparently fairly long) so that I would
appear to have a normal intact penis. ... The skin
at the tip of my penis had a small opening, so I
was not able to retract it at all. ... I didn't
have the usual bulge at the end. There seemed to
be a few bumps at the end, suggesting the remnants
of a coronal ridge, but that is all.
- Bostel's blog, July 8, 2006
|
>
|
Loss of glans after Plastibell circumcision
Lana writes [to "Hey LLL: Circumcision Affects
Breastfeeding! Tell moms the truth!" on Facebook, November 26,
2013
Yesterday we had an appointment at the women's
and childrens hospital ...
in the bathroom ...
a little boy came running out of the stall
pants-less ...
he didn't have a whole penis. It looked as
though someone had taken a guillotine and
chopped it off. There was a catheter in the
stump and the stump was about 1cm long. It was
obvious, hideous and very sad to see.
Then mom feels the need to explain. When he
was 8 days old he had a plastibell circumcision.
The ring cut the blood supply to his glans off
and it went black, the tissues died and by the
time they rushed him to hospital the head of his
penis was in the diaper unattached to the shaft
and even more of the shaft tissue was necrosing.
The surgeon had to remove all the dead cells
right up into the good tissue to save his life.
leaving him with a stump and the need for a
catheter in order to urinate.. he would be
having many many surgeries to reconstruct his
penis as he grows up ...
|
Case study of reconstruction
after loss of glans from monopolar electocautery
(malpractice) in Syria in 2019. (image)
After one year, the authors claim a good result, but
admit that they cannot assess the sexual outcome.
They mention "sex reassignment" as a decision that
may be made after "serious penile injuries" but
without reference to its most notable
failure, below. |
Ablation
(removal)
of the penis
The
tragedy of David (initially named Bruce) Reimer of
Winnipeg, Manitoba, is seldom blamed on circumcision, as
it should be.
|
Bruce was born one of normal identical twin boys
in Winnipeg in 1965. Seven months later, his
mother noticed that "their foreskins were closing,
making it hard for them to urinate," a doctor told
her that they had phimosis,
and both boys were scheduled for circumcision at
St. Boniface Hospital. .
(In fact foreskins do not normally close, and
true phimosis is not diagnosable in boys as young
as seven months, since the foreskin has usually
not yet separated from the glans.
The facts as given do not stack up. One
probability is that the mother had been wrongly
instructed to retract their foreskins, and that
this caused tearing and scarring, leading to the
closure. This is a common excuse for
circumcision.)
A power surge in the electocautery needle (used
to seal blood vessels by heat) burnt off Bruce's
penis, and it was decided to reassign his genitals
surgically and raise him as a girl, Brenda. There
is a strong suspicion that his being an identical
twin was a factor in the decision, and the case
was widely used by Dr John Money for the next 15
years to demonstrate that gender is completely
malleable, under purely social control.
Brenda was subjected to castration at the age of
22 months, but she was a troubled tomboy
throughout her childhood. From the age of eight
onward, she steadfastly refused further surgery,
and at puberty she resisted taking hormones. Her
sexual desires, closely monitored by Dr Money,
were towards females, and her parents were made to
face the possibility that their daughter was a
lesbian.
At 14 she refused to live as a girl any longer
and was told the truth about his gender.
At 16 he had a penis reconstructed, but the
outcome was unsatisfactory and teasing by his
peers led to two suicide attempts. At 21 he had
another reconstruction with a better outcome. He
met a woman with three children, abandoned by
their three biological fathers, who was somewhat
disillusioned with men's pride in their penile
prowess. For some years he was a happily married
adoptive father, but he said:
"It was like brainwashing.
I'd give just about anything to go to a
hypnotist to black out my whole past. Because
it's torture. What they did to you in the body
is sometimes not near as bad as what they did to
you in the mind - with the the
psychological warfare in your head."
- The true story of John/Joan
by John Colapinto
Rolling Stone December 11, 1997
(David was called "John/Joan" in the medical
literature.)
"It only added to the young
couple's misery that [brother] Brian's phimosis
had long since cleared up by itself, his healthy
penis a constant reminder that the
disastrous circumcision on Bruce had been
utterly unnecessary in the first place."
Colapinto also discusses another very similar
case, also reassigned as female by Dr Money.
In March, 2004, David
Reimer committed suicide.
Colapinto has written a
feature article for Slate analyzing his
motives. (email
here if this article becomes unavailable.)
|
A
more detailed, scientific account of the case of
"John/Joan/John" is at the CIRP library. It refers to his
circumcision as "phimosis repair by cautery".
|
David was not born intersexed
(hermaphrodite). For issues of intersexuality,
see the Intersex
Society of North America website. Nor was
he transsexual (having a gender identity
different from his physical gender at birth). Intactivists
in general have no objection to voluntary
sex-change surgery performed on adults.
It seems gender identity
(what sex we think we are) is laid down in the
brain, as is sexual orientation (what sex we are
attracted to), and each is distinct from
biological gender (XX, XY or other chromosomal
makeup, and/or the appearance of the genitals or
secondary sexual characterisics) - though all
three may be affected by environment, including
upbringing.
|
Other
cases of penis ablation from circumcision (commonly
through the use of unipolar electocautery)
are reported by Williams
and
Kapila and Bradley
|
(This article comes via Snopes,
because the picture was used to illustrate an
urban myth)
Severe Burn of Penis Caused by Excessive
Short-Wave Diathermy
Jiang, Jun et al. (Department of Urology, Third
Military Medical University, Chongqing)
Asian Journal of Andrology. 6 December 2004.
A 38-year-old man was admitted to this Hospital
for severe penile burn caused by excessive
short-wave diathermy. Five days ago, the patient
visited a clinic for recurrent genital herpes
simplex. Circumcision was performed and local
short wave diathermy given immediately. The
frequency of short wave source was 13.56 MHz with
a penile exposing time of about 2.5 hours.
Blisters and extravasation at the penile skin were
seen 1 day and became black 3 days after
short-wave diathermy. The patient could micturate
[i.e., urinate] without hematuria [i.e., blood in
the urine]. The whole penis was burned black and
became indurated [i.e., hardened] with a clear
margin with the normal skin at the base of the
penis. He felt no pain in the penis even with
needle puncture. Doppler sonography revealed no
blood flow in the penis and severe burn and penile
gangrene was diagnosed.
At day 31 after the treatment, the necrotic part
of penis was resected with only about 1 cm of the
penile stump left. Thrombi were found in the two
deep arteries of the corpora cavernosa and deep
dorsal arteries and the veins beneath Buck's
fasica. Scrotal skin was mobilized and shifted to
repair the penile stump. Pathological examination
showed necrosis of the penis tissue and thrombi
formation in the corpora cavernosa.
Convalescence was uneventful. The patient could
micturate in standing position by pushing skin
around the stump of the penis backward.
P
the diathermy ablation (not for the
squeamish)
|
|
520 So.2d 920 (1987)
Terry W. FELICE, Sr., Individually,
et al., Plaintiffs-Appellees,
v.
VALLEYLAB, INC., et al.,
Defendants-Appellants.
Court of Appeal
of Louisiana, Third Circuit.
November
4, 1987.
Writs
Denied January 8, 1988.
Brame, Bergstedt & Brame, David A.
Fraser, Lake Charles, for
plaintiffs-appellees.
Camp, Carmouche, Barsh, Gray,
Hoffman & Gill, David Frohn, Lake
Charles, McGlinchey Stafford, Mintz, Cellini
& Lang, Colvin G. Norwood, Jr., New
Orleans, for defendants-appellants.
Before GUIDRY, FORET and YELVERTON, JJ.
YELVERTON, Judge.
This case involves a surgical accident to a
two year old child. During a circumcision
operation the child's penis was burned off by
an electrosurgical device. The father, ...
filed suit against Valleylab, Inc., the
manufacturer of the unit, and the State of
Louisiana, ...
The trial judge found the State defendants to
be 100% at fault and returned a verdict in
favor of the plaintiffs, ...
individually, against the State in the amounts
of $18,968.01 for past medical expenses and
$100,000 in general damages, and in favor of
... on behalf of the minor
child ... in the amount
of $1,730,000. The jury returned a verdict in
favor of the plaintiffs against Valleylab,
Inc. in the amount of $2,750,000. The jury
found Valleylab to be 30% at fault. Judgment
was rendered according to the two verdicts.
The defendants have appealed and the plaintiff
has answered the appeal. We conclude that the
jury was clearly wrong in finding Valleylab at
fault. We agree with the trial judge that 100%
of the fault lies with the State and its
agencies. We reconcile the conflict in the
award by finding the jury's assessment,
$2,750,000, the more reasonable.
...
Dr. William Goodger and Dr. Cynthia Glass were
residents training at Moss Regional Hospital.
...
Neither doctor was a
board certified general surgeon.
...
FACTS
In late January 1984 Jeffery's parents
noticed that he complained of pain when he
urinated and that the foreskin of his penis
had difficulty retracting. He was examined by
a physician and his condition was diagnosed as
phimosis. [At two
years old, he could not have had true
phimosis. It was normal for his foreskin
not to retract.] Circumcision
surgery was recommended, and Jeffery was
admitted to Moss Regional Hospital. The
surgery was performed on February 2, 1984 by
Dr. William Goodger, a
first year family practice resident
at the hospital, under the supervision of
Dr. Cynthia Glass, a
third year surgical resident. The two
residents were the only doctors present
during the surgery. Dr. Glass
instructed Dr. Goodger to perform a
circumcision technique known as the
guillotine technique. In this technique the
foreskin of the penis is stretched past the
end of the penis and clamped with a hemostat
to hold the foreskin in a position to be cut
off. After the excess foreskin is cut away,
the bleeding is controlled and the edges of
the foreskin are sutured together. Generally
the cutting in circumcisions is performed
with a scalpel.
Dr. Goodger, under the supervision of Dr.
Glass, was instructed to cut the foreskin with
a cutting instrument known as the Valleylab
Electrosurgical Unit, known as an ESU. This
unit operates by applying a high frequency
electrical current through a "surgical pencil"
to the cutting area. The electronic cut of the
ESU reduces bleeding at the cutting area and
eliminates the necessity of "tying-off" the
vessels. The unit has two modes: cut and
coagulation. The surgery in the present case
was begun in the cut mode on a setting of one
on the power dial, and raised to
two-and-one-half when the initial setting
failed to make a cut. Dr. Glass instructed Dr.
Goodger to cease cutting after he had cut
approximately one-third of the distance across
the foreskin. Dr. Glass observed that
something was wrong because the penis had
retracted and was very pale. Dr. Glass then
became aware that the penis had sustained a
full thickness burn. The ESU never touched the
clamp during the surgery. The record is clear
the penis was burned by excess electrical
current running through the penis. Dr. Glass
then removed the rest of the foreskin with
scissors and sutured it by hand. A burn
ointment, Silvadene, was applied to the burned
area.
On February 8, 1984 the child was sent home.
Several days later he began running a high
fever and was taken back to the hospital where
he was transferred to New Orleans Charity
Hospital. Eventually his external penile
tissue sloughed away leaving him with no
visible penile tissue. Put in simpler terms, his penis was gone.
Because of this injury Jeffery has suffered
from physical problems with his urethra, the
channel between the bladder and the penis, and
has undergone four additional surgical
procedures.
...
At trial the expert testimony agreed that the
accident occurred as a result of the
introduction of too much electricity to the
cutting area. Dr. James Brennan, a professor
of electrical engineering, explained the
general principles. Electricity has the
ability to generate heat through any form of
conductor. However, the heat will be
concentrated more where the conductor is
smaller; this principle is known as current
density. On the cut mode the generator is on,
constantly generating a continuous stream of
electricity. In the present case the conductor
of electricity was a very small penis of a two
year old child.
Dr. Leonard Knapp, a general surgeon, did
some research for purposes of his testimony
and explained that when too much electricity
goes through a small area the heat causes the
blood vessels in an appendage to thrombose.
...
In the present case the ESU was intended to
be used in most surgical procedures either to
cut the tissue or to be used to stop the
bleeding. The obvious, or ordinary, user of
these machines are the surgeons who manipulate
the "surgical pencil". We find that using the
ESU to cut on a small appendage is a
foreseeable use of this machine. The evidence
is clear that most
physicians are unaware of the dangers
inherent in using the ESU to cut upon small
appendages, such as a child's penis.
...
the danger in the present case was not a
danger which a surgeon should be presumed to
know through his familiarity with the
machine....
there are no warnings or instructions on how
to use the ESU in a routine circumcision.
There were not adequate warnings placed on the
machine itself. The machine merely indicated
that the device produces "hazardous electrical
output". It is clear that Valleylab failed to
give adequate notice of the danger inherent in
using the ESU in making a cut in a
circumcision, or other surgeries involving
small appendages. This failure resulted in the
product being unreasonably dangerous in normal
use.
We find, however, that the absence of warning
was not a cause-in-fact of Jeffery's
injury....
By Dr. Glass' own testimony she admitted that
she had never read the warning label on the
device itself, and that she had never read the
manual. An adequate warning or instruction
would have been futile under the
circumstances.
We accordingly hold that the jury's finding
of liability on the part of Valleylab was
clearly wrong, ...
Dr. Goodger had never performed a circumcision
with an ESU or in a surgical suite. Dr. Glass
was in charge of the surgery and instructed
Dr. Goodger on the technique to be used. Dr.
Glass instructed Goodger to use the guillotine
technique with the use of an ESU to cut the
foreskin. Dr. Goodger assumed Dr. Glass had
experience and had been trained to perform the
circumcision in this method. However, Dr.
Glass testified that she had been trained to
perform a circumcision with a scalpel in
medical school and that she had not been
instructed on the use of an ESU in
circumcisions. She had always performed
circumcisions with a scalpel until one week
before the Felice surgery. On that occasion
one week earlier, she and Dr. Boustany,
another resident, discussed the possible
benefits in using an ESU for a circumcision.
Dr. Glass was also in charge of that surgery.
They believed the ESU would control the
bleeding, so they performed a circumcision
with an ESU, with no ill effects. Dr. Glass
never inquired of her supervising doctors as
to whether the use of an ESU was proper for
circumcision surgery. She did not inspect the
literature or the manual to see if there would
be any dangers in the use of ESU in
circumcision. Dr. Glass merely decided to try
it and see what effect the ESU would have upon
the surgery, since she considered it an
improvement upon well-established technique.
Dr. Glass also admitted that she had never
held the ESU "surgical pencil" in her hand to
cut the foreskin in a circumcision. She twice
had instructed two residents on a procedure
she had never performed herself. Dr. Glass
also admitted that it was a precept of
medicine that any modification of a learned
technique would never be done without a full
appreciation of all the risks involved in the
modification.
...
2) The LSU Medical School
The trial judge also found the LSU Medical
School independently negligent for failing to
instruct its students in the proper use and
dangers of the ESU unit....
Dr. Glass was properly instructed on how to
perform a routine circumcision using the
guillotine technique and making the incision
with a scalpel and scissors.
We find, however, that the medical school was
negligent in its supervision of Dr. Glass in
her residency training. At the time of the
Felice surgery, the residency program had in
effect the following regulation:
"No third year resident is to do an elective
operative procedure without staff present in
the operating room. This rule is good for
twelve months of the year."
Dr. Isodore Cohn, Chairman of the Department
of Surgery at the LSU Medical School and a
professor of surgery, ...
stated that the rule
was followed and applied only in major
surgeries, not minor surgeries as in
circumcisions. ...
DAMAGES
...
Dr. Aretta Rathmell, Jeffery's psychiatrist,
testified that the child will need
intermittent psychiatric counseling to help
him cope with crises as they occur. She said
that there is a high possibility his loss will
affect his self-identity. She said that
Jeffery will undoubtedly experience anger and
frustration as he grows older and probably
will direct that anger against his parents.
...
Sexual pleasure, procreativity, marriage in
any normal sense, these things will never
exist for him. The suffering of deprivation,
both physical and mental, that will accompany
him throughout his life can be only vaguely
imagined. What will his puberty be like? Where
will he go to escape the cruel and ribald
jokes of his comrades? For that matter who
will be his comrades? Into what corner of his
dark cell will he seek refuge when the natural
urgings of his body wage battle?
There is a suggestion in the evidence that he
can be changed into a woman. As a means of
mitigating damages in this case, we view this
prospect as pure speculation. If it is
realistic to imagine he may one day find a new
life in this way, it is just as realistic to
speculate that after the sex change, he may
wish it had never been done. [He
may very well wish the circumcision had
never been done.]
...
|
|
A partial ablation is reported from New York in
1995. A three-year old Jewish Russian immigrant
child was circumcised by a mohel in a urologist's
outpatient clinic. Consent had been given for the
urologist to perform the circumcision. Instead,
the mohel negligently amputated the head of the
boy's penis. The urologist attempted to reattach
the head and transferred the boy to Bellvue
hospital by ambulance. Four-fifths of the head of
the penis necrosed (died) and came off. After a
one-month long trial, the family was awarded a
total of $1,000,000. The mohel declared
bankruptcy.
Bronx County N.Y.
Plaintif Nozik #20875/90
November 22 1995
|
|
Ouch! Boys Lose Too Much in
Circumcision Slip
Updated
3:22 PM ET June 9, 2000 ANKARA (Reuters)
Health workers carrying out a mass circumcision on
more than 200 children in western Turkey cut off
more than they should have when they got to the
last two on Friday.
"Whether it was because of their anatomy or
through carelessness, too much was cut off,"
Anatolian news agency quoted Manisa health service
chief Ismet Nardal as saying.
Doctors in the hospital where the two-day
circumcision marathon was carried out immediately
operated on the pair to try to rectify the error.
"The children's stitched organs have held, the
operation was successful," Nardal said. "They
appear to be alright, but it will only become
apparent later if they have lost their sexual
function."
Young boys are circumcised in overwhelmingly
Muslim Turkey before they reach puberty, according
to Islamic tradition.
[This item - about a
lifetime catastrophe for the two boys
involved - was widely reported in the "joke"
sections of papers, as the headline
suggests. That in itself is part of the
psychopathology of male genital cutting,
helping as it does to prevent questioning of
the operation itself.]
|
Jerusalem Post
Monday, August 14 2000 12:48 13 Av 5760
Baby
recovers from 'brit mila' amputation
By Judy Siegel
|
|
AFULA (August 14) - A baby whose penis was
accidentally amputated below the corona by the
mohel (ritual circumciser) and reattached by
microsurgery a month ago was declared fully
recovered yesterday at Ha'emek Hospital in Afula.
Hospital spokesman Danny Brenner said the baby is
now able to urinate normally, and the penile blood
vessels and nerves are fully functioning. The
hospital reported the highly unusual incident to
the Health Ministry, but Ha'emek still doesn't
know the identify of the mohel, as the family
refused to give his name and have not yet filed a
complaint.
The parents rushed the baby to the hospital four
weeks ago carrying a plastic bag with the glans
penis kept in ice. Dr. Ya'acov Rosenman, deputy
head of the urology department, and Dr. Boris
Lachman performed the painstaking operation, which
took more than eight hours.
Rabbi Yosef Weisberg, the ministry's national
supervisor of ritual circumcisers, had not yet
been informed of the case. "If asked, our
committee will investigate.
|
Such a thing is extremely rare, but I have heard
of one or two other cases here over the year. Any
mohel who does such a thing must be blind, have
taken a drink, or been pushed while performing the
brit mila," he said.
The fact that there is no circumcision law, "due
to pressure from American Conservative, Reform,
and female circumcisers who are afraid they'll be
left out," means there are unlicensed mohelim,
Weisberg said, but he could not estimate how many
there were out of the total of several hundred
practicing mohelim in the country.
Brenner said that it was possible the family would
complain to the police or sue the mohel for
damages now that the child had recovered, "or
maybe they received payment from the circumciser
to keep quiet about the incident."
Although amputation of the penis is rare in
children, said Brenner, the world's top medical
experts in reconnecting adult penises are in
Thailand, as nearly every day, disgruntled wives
cut off their husband's organs in a fit of anger
or jealousy.
|
|
J
Sex Med. 2007 Dec 14 [Epub ahead of print]
Restoration of the Penis Following Amputation
at Circumcision: Shaeer's A-Y Plasty.
Shaeer O. Department of Andrology, Faculty of
Medicine, Cairo University, Egypt.
Introduction. Male circumcision is one of
the most commonly performed procedures worldwide.
It has an estimated complication rate ranging from
0.1% to 35%. Amputation of the shaft is one of the
most devastating complications reported, resulting
from entrapment of the phallus between the blades
of the clamp or from thermal injury due to the
application of unipolar diathermy.
Aim. In this work, I describe the
guidelines I adopted in the management of 32 male
patients afflicted with amputation of the shaft of
the penis upon circumcision.
Methods. "Shaeer's A-Y plasty" was
performed for all patients, whereby the proximal
corpora and crura were released from their
attachment to the pubis and were advanced forward
by insetting a specially configured fat flap into
the resultant cavity. Skin grafts were used to
cover the released penis.
Results. In all 32 cases, the released
penis was within the normal range of penile
length, and was cosmetically and functionally
acceptable.
Conclusions. "Shaeer's A-Y plasty" is
capable of restoring the native phallus [No,
it
replaces it with a facsimile]
following amputation, with preservation of both
gender identity and physiological characteristics
of the penis to a large extent.
PMID: 18086176 [PubMed - as supplied by
publisher]
|
|
Urology. 2014 Jun 11. pii:
S0090-4295(14)00390-2. doi:
10.1016/j.urology.2014.04.021. [Epub ahead of
print]
Complete Penile Amputation During Ritual
Neonatal Circumcision and Successful
Replantation Using Postoperative Leech
Therapy.
Banihani OI, Fox JA, Gander BH, Grunwaldt
LJ, Cannon GM.
Abstract
Circumcision is the most common surgical
procedure in males in the United States, and
minor complications are not uncommon. Major
complications like partial penile amputations
have been reported with successful replantation.
Complete penile amputations in adult males have
been described, and successful replantation has
been reported with increasing success. We report
a case of complete penile amputation at the
penopubic junction using a Mogen clamp in a 7-day-old
neonate with replantation using postoperative
leech therapy. To our knowledge this is the
first time leech therapy has been used
postoperatively for neonatal penile amputation.
Copyright © 2014 Elsevier Inc.
All rights reserved.
|
Another case, in Switzerland
Another case, in Ghana
Hypothermia
| Journal of Paediatrics and Child
Health
Surgery and magnetic resonance imaging
increase the risk of hypothermia in infants
Joel M Don Paul, Elizabeth J Perkins, Prue M
Pereira‐Fantini, Asha Suka, Olivia Farrell,
Julia K Gunn, Anushi E Rajapaksa, David G Tingay
First published: 13 January 2018 |
https://doi.org/10.1111/jpc.13824
Abstract
Aim
Maintaining normothermia is a tenet of neonatal
care. However, neonatal thermal care guidelines
applicable to intra‐hospital transport beyond the
neonatal intensive care unit (NICU) and during
surgery or magnetic resonance imaging (MRI) are
lacking. The aim of this study is to determine the
proportion of infants normothermic (36.5–37.5°C)
on return to NICU after management during surgery
and MRI, and during standard clinical care in both
environments.
Methods
Sixty‐two newborns requiring either surgery in
the operating theatre (OT) (n = 41) or an MRI scan
(n = 21) at the Royal Children’s Hospital
(Melbourne) NICU were prospectively studied. Core
temperature, along with cardiorespiratory
parameters, was continuously measured from 15 min
prior to leaving the NICU until 60 min after
returning. Passive and active warming
(intra‐operatively) was at clinician discretion.
Results
The study reported 90% of infants were
normothermic before leaving NICU: 86% (MRI) and
93% (OT). Only 52% of infants were normothermic on
return to NICU (relative risk (RR) 1.75; 95%
confidence interval (CI) 1.39–2.31; number needed
to harm (NNH) 2.6). Between departure from the
NICU and commencement of surgery, core temperature
decreased by mean 0.81°C (95% CI 0.30–1.33;
P = 0.0001, analysis of variance), with only 24%
of infants normothermic when surgery began
(P < 0.0001; RR 3.80 (95% CI 2.33–6.74); NNH
1.5). After an MRI, infants were a mean 0.41°C
(95% CI 0.16–0.67) colder than immediately before
entering the scanner (P = 0.001, analysis of
variance), with only 43% being normothermic
(P = 0.003; RR 2.11 (95% CI 1.35–3.74); NNH 2.1).
Conclusion
Unintentional hypothermia is a common occurrence
during surgery in the OT and MRI in neonates,
indicating that evidence‐based warming strategies
to prevent hypothermia should be developed.
[The relevance of this to foreskin ablation
surgery is - like too much about that surgery
- unknown, but could be serious.]
|
Unspecified
life-threatening complications
- Facebook, February 17, 2017
SIDS - a near miss

Death
Deaths
from circumcision are now on a page of their own. The autopsy report on Ryleigh
McWillis, who died of blood-loss, is on yet another
page.
Here are
references for more than 25
other mishaps, mainly ablations.
The
Circumcision Information and Resource Centre has a further
compilation
of
complications.
A
controversial webside, Ulwaluko shows botched Eastern Cape
tribal circumcisions - contains graphic images.
Stating
the obvious, Robert Darby, PhD writes To avoid
circumcision complications, avoid circumcision
in the July-August 2014 issue of the Canadian Urological
Association Journal | Journal de l'Association des
urologues du Canada
|
|